Chickenpox and Shingles (Varicella-Zoster Virus)
Varicella-Zoster Virus (VZV):One Pathogen with Multiple Clinical Manifestations
Varicella Zoster Virus (VZV) - Virology and Pathogenesis
Chickenpox (Varicella): Nursing Process (ADPIE)
VZV - Clinical Presentation of Chicken Pox and Shingles
VZV vs HSV Similar, But Different - Prof Kyoung Woo Kim
Gürtelrose: Pathophysiologie, Symptome, 3 Infektionsstadien, Komplikationen, Behandlung, Animation.
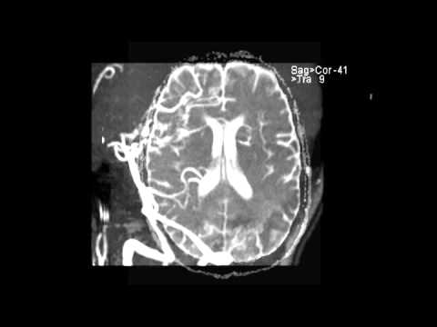
VZV Vasculitis
Varizella-Zoster-Virus: Verfahren zur Entnahme von Varizellen-Hautläsionen und Blutproben
VZV: Diagnosis, Treatment & Prevention
Detection of VZV & HSV in Skin & CNS Infections Using Molecular Testing — Feat. Preeti Pancholi
Shingles
Windpocken | Varizella-Zoster-Virus | Pathogenese, Anzeichen und Symptome, Diagnose und Behandlung
Vaccine-Preventable VZV Encephalitis — Tim's Story
Neurologist Explains Justin Bieber's Ramsay-Hunt Syndrome (VZV Facial Paralysis)
Varicella-Zoster-Virus für den USMLE Step 1
🙇♀️🌝👼Herpesviruses part 2 (Varicella-Zoster virus)🤔👵🏻👨🦳
Herpes: Mono, HSV, Chickenpox, Shingles, EBV, CMV, Cold Sore, VZV Varicella
Dermatologist Explains Shingles: Is it Contagious? Shingles Treatments & Prevention? | Dr. Sam Ellis
Varizella-Zoster-Virus und Gürtelrose, die latente Infektion, die dermatomale Blasen verursacht