Small Fiber Neuropathies in Dysautonomia - Dr. Amanda Peltier
Dr. Kamal Chemali - Dysautonomia & Small Fiber Neuropathies: Quest to Find an Underlying Cause
Small Fiber Neuropathies- Kamal Chemali, MD
Accuracy Of Small Fiber Neuropathy Testing? #pots #longcovid #dysautonomia #headinjury #concussion
What are the Symptoms of Small fiber peripheral neuropathy? #pots #dysautonomia #keiserclinc
A Case of Autonomic Neuropathy: The Utility of Autonomic Testing: Kamal Chémali, MD
The POTScast E90: POTS, Small Fiber Neuropathy and Mystery Symptoms with Dr David Saperstein
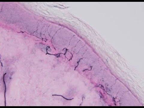
Small Fiber Neuropathy
POTS and Neuropathy
Dr Guido, Giorgio Clinical Approach to Dysautonomia and Small Fiber Neuropathy
The POTS Workup: What Should We Screen For- Brent Goodman, MD
Autonomic Disorders in Clinical Practice - Svetlana Blitshteyn, M.D.
What Is Autonomic Neuropathy? – Dr. Berg
The Hidden Link Between POTS and Nerve Damage Revealed
Treating central autonomic disorders
Sjogren's & Nerve Pain: NEW Doctor Guidelines You NEED to Know
Chronic Regional Pain Syndrome CRPS and Small Fiber Neuropathy
Dr.Todd Levine, Small Fiber Neuropathy, Corinthian Reference Lab
New Research Linking Fibromyalgia and Small Fiber Polyneuropathy (SFPN)
How is Small Fiber Polyneuropathy (SFPN) Treated?