Methadone against cancer? - The full report | stern TV (June 21, 2017)
Why methadone is not (yet) used to treat cancer | Quarks
METHADON BEI KREBS - HILFE BEI CHEMOTHERAPIE? WIRKSAM GEGEN METASTASEN?
Hilft Methadon gegen Krebs? Der ganze Talk | stern TV
Methadon-Krebstherapie, Bundesbeamten-Arbeitszeit, Plastikverpackungen
METHADON BEI KREBS - UNEMPFINDLICHE KREBSZELLEN?
Methadon in der Krebstherapie - Pro und Contra - der ganze Talk | stern TV (28.06.2017)
Hilft Methadon gegen Krebs?
Methadon gegen Krebs? - D,L-Methadon in der Onkologie
Methadon gegen Krebs: Wundermittel oder gefährlicher Hype? - Krebs Campus Live #32
Warum wird dieses Medikament gegen Krebs kaum erforscht? | Podcast #103 | Quarks Science Cops
Hilft METHADON BEI KREBS - CHEMOTHERAPIE - METASTASEN?
HOPE ODER HOFFNUNG METHADON BEI KREBS - CHEMOTHERAPIE - METASTASEN?
Methadon in der Krebstherapie – Erfahrungen aus Forschung und Praxis
WARUM DIE NACHFRAGE NACH METHADON GEGEN KREBS SO HOCH IST
Welche Nebenwirkungen treten bei Methadon auf?
Neue Waffe gegen Krebs macht Hoffnung - Immuntherapie bei Krebs | SWR Doku
Methadon als Krebsmittel
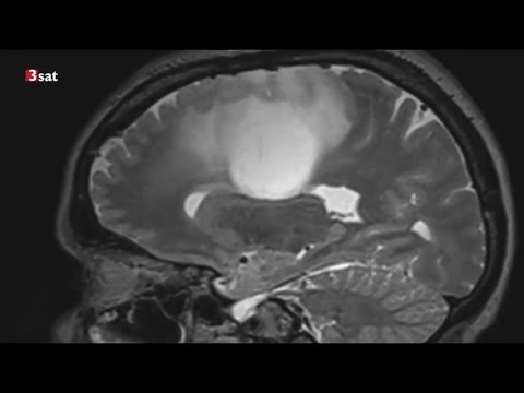
Methadon medizinisch erklärt durch Dr. med. Dietmar Peikert (Glioblastom 4) Video 8 (engl. Sub.)
Ein ernstes Thema Methadon…das Ende vom Krebs?#krebs#chemotherapie#Methadon#einechance
Methadon soll gegen Krebs helfen - weitere Forschung wird aber nicht finanziert (Nano 02.05.2017)
METHADON gegen KREBS ✅ - pro und contra
Krebstherapie: Lebensbedrohliche Heilpraktiken? Das Geschäft mit der Verzweiflung | stern TV
Methadon in der Krebstherapie
Methadon gegen Krebs - Hoffnung für Krebskranke