Case 65: Manual of CTO Interventions - Severely calcified RCA CTO
Case 66: Manual of CTO Interventions - Retrograde "rendez vous"
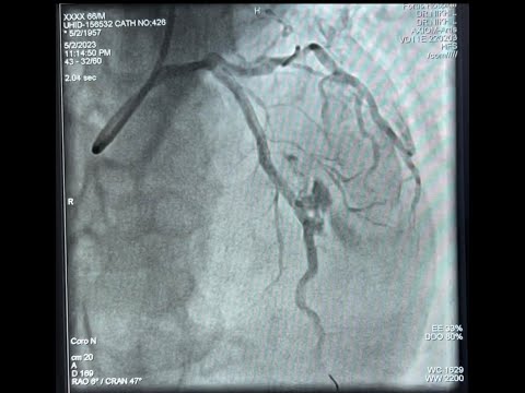
Case 65: PCI Manual - Arteria lusoria and STEMI
Case 14: Manual of CTO Interventions - Circumflex CTO in a patient with left main disease
Case 126: Manual of CTO Interventions - Balloon uncrossable occlusion
Case 66: PCI Manual - Thrombus, filter, OCT
Rotablation angioplasty of a Calcified 'Widow maker's' artery! ♥️ (Dr Binoy John) Still more Rota!
Case 54: PCI Manual - Knuckle wiring for STEMI
Case 62: PCI Manual - PCI in a patient with prior CABG and TAVR
[TCTAP 2019] Master the CTO - Live Case & Lecture Session IV
Guidewire Selection for Coronary CTO Procedures at the University Of Colorado Hospital
Case 117: PCI Manual - Refractory stent underexpansion
Case 56: PCI Manual - Coronary anatomy assessment: core principles
Case 68 - PCI Manual - Branch ostial lesion
Case 154: Trifecta
Case 58: PCI Manual - CABG for STEMI
Case 70: PCI Manual - Ostial and distal RCA lesion
Case 73: PCI Manual: LIMA PCI
Case 163: Manual of PCI - PCI through CoreValve
How to progress from radial artery spasm? Balloon assisted tracking technique.
Case 16: PCI Manual - Septal perforation
Coronary artery perforation Covered stent by ping pong technique PCI complication nightmare
Case 59: PCI Manual - Double provisional
Case 75: PCI Manual - Tortuous circumflex bifurcation
Case 61: PCI Manual - Filter for clots?