CVI2018 Session: Watchman - what the future needs - Oluseun Alli, MD
CVI2018 Session: Challenging LAA closure case with WATCHMAN - Rahul Sharma, MD
CVI2018 Session: Limits for transcatheter LAA closure - Jacqueline Saw, MD
CVI2018 Session: Innovations that created the LAA therapy space - Oluseun Alli, MD
CVI2018 Session: Where is the field of PFO and LAA closure going? - John Carroll, MD
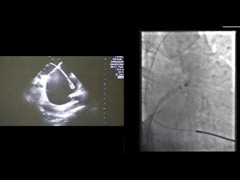
Watchman Implantation: Mastering Complex Left Atrial Anatomy
CVI2018 Session: The Boundaries of Structural Heart Therapy - I (Mt. Sopris, July 27, 08:30 am)
CVI2018 Session: Whose LAA will I close? - Kenneth Huber, MD
CVI2018 Session: Outpatient Cath Surprise - Rahul Sharma, MD
The Watchman Procedure 10-11-17
CVI2018 Session: Tools I wish I had in the cath lab for aortic disease - David R. Holmes, Jr., MD
Bushra Rana - The gold standard; TEE assessment before, during, and after LAA occlusion
CVI2018 Session: Prime Occluders (Colorado Ballroom, Saturday, July 28, 10:30 am)
CVI2018 Session: What's missing in occluder therapy? - Srinivas Iyengar, MD
Lifetech Scientific LAmbre LAA closure Live case from CSI Frankfurt 2018
Key Factors of a Left Atrial Appendage Closure Program
WATCHMAN #11 Device preparation
LAAo with WATCHMAN™ FLX _Dr. Sandeep Panikker
Left Atrial Appendage Occlusion (DAVID. R. HOLMES, JR., MD) April 20, 2017
Medical Minute - The Watchman Device
10 7 20 Lin LAA Closure for AF
Left Atrial Appendage Closure by Watchman FLX and ICE
Watchman Device for LAA Closure
Ensuring implant success: a step-by-step approach for LAA Occlusion
Difficult Occluder Cases