Bronchiektasen - Erkrankungen der Atemwege
Bronchiektasen – wenn die Bronchien zur Schleimfalle werden! 🫁 Chronischer Husten, zäher Schleim,
Heilpraktikerausbildung Heilpraktikerprüfung - Bronchiektasen
Management von Bronchiektasen: Aus ärztlicher Sicht (PARI-PhysioAssist Webinar 17.06.2021)
Physio bei Non-CF Bronchiektasen (PARI-PhysioAssist Webinar 17.06.2021)
Bronchiektasen - Patienten mit gehäuften Exazerbationen
Folge 19: Bronchiektasen-Erkrankung
🌟 Bessere Lebensqualität bei Bronchiektasen – So funktioniert es! 🌟
Rare Congenital Lung Diseases (CESEK) | University Hospital Cologne
Understanding Bronchiectasis: Symptoms, Treatment & Flare-Up Prevention
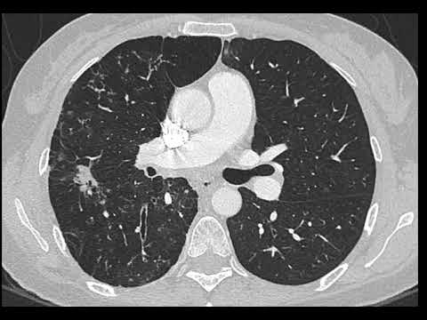
Bronchiectasis with lung nodule
Ask a Pulmonologist: "Could a Person Have Bronchiectasis and COPD?"
Amufit (Atemtraining); Die Kur bei Bronchiektasen gegen schleimigen Auswurf
Folge 19: Bronchiektasen-Erkrankung - ATEMWEG - der Podcast für pneumologische Themen
Wieder durchatmen: Eine wirksame Therapie für Patienten mit Bronchiektasen
Bronchiectasis | Clinical Medicine
Sekretmobilisation mit Simeox – nicht nur – aber auch bei Bronchiektasen
🚨 Wusstest du, dass Bronchiektasen viel häufiger sind, als du denkst? 🫁💡
Gefährliche Bronchitis? Typische Anzeichen und wichtige Maßnahmen bei zähem & schleimigen Husten
Clearing mucus from lungs and airways: How to effectively loosen mucus