5.5.2020 PedsUroFLO Lecture - Pediatric Spina Bifida
5.21.2020 PedsUroFLO Lecture - Anorectal Malformations: Urologic Considerations
5.13.2020 PedsUroFLO Lecture - Pediatric Nephrolithiasis
8.4.2020 PedsUroFLO Lecture - When Kids with Spina Bifida Grow Up: Lessons Learned
6.2.2020 PedsUroFLO Lecture - Posterior Urethral Valve
6.9.2020 PedsUroFLO Lecture - Evaluation & Management of Pediatric Bladder & Bowel Dysfunction
5.27.2020 PedsUroFLO Lecture - The Undescended Testicle
4.30.2020 PedsUroFLO Lecture - Duplication Anomolies
12.8.2020 PedsUroFLO Lecture - Predicting Kidney Outcomes in Children with PUV
5.26.2020 PedsUroFLO Lecture - Hydroureteronephrosis: Megaureter and Beyond
7.7.2020 PedsUroFLO Lecture - Pediatric Voiding Dysfunction
5.19.2020 PedsUroFLO Lecture - Testicular Tumors
4.23.2020 PedsUroFLO Lecture - Vesicoureteral Reflux (VUR): "Back to the Basics"
4.28.2020 PedsUroFLO Lecture - Childhood Renal Tumors
4.14.2020 PedsUroFLO Lecture - Prenatal Management of LUTO
7.14.2020 PedsUroFLO Lecture - Long Term Outcomes after Hypospadias Repair
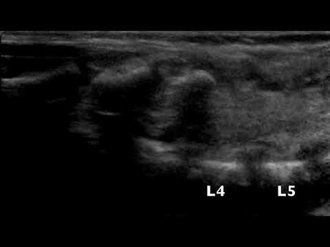
Spinal US - conus at L5
International Women’s Day
4.21.2020 Urology COViD Didactics - Muscle Invasive Bladder Cancer (MIBC)
SCI Webinar Series:Creation of the Spina bifida Women’s Health Guidelines, Methods & Future Projects