29.3 Approch to suspected retroperitoneal hematoma - Manual of PCI
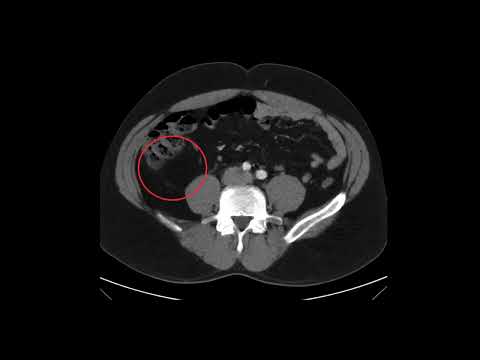
Retroperitonal hematoma with active extravasation
A Novel Approach to the Management of Retroperitoneal Hemorrhage
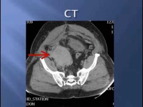
Massive Traumatic Retroperitoneal Hematoma, CT Annotated
Retroperitoneal Hematoma by Dr. Saurabh Dixit | PrepLadder NEET-SS
Retroperitoneal hemorrhage management after coronary CTO procedure
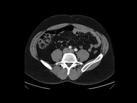
Massive Traumatic Retroperitoneal Hematoma, CT Unannotated
Retroperitoneal Hematoma and Management
Massive Traumatic Retroperitoneal Hematoma, US 1 Unannotated
Massive Traumatic Retroperitoneal Hematoma, US 1, Annotated
Retroperitoneal Hematoma
Abdominal Vascular Injuries
The retroperitoneum
What is a Retroperitoneal Hematoma?
Femoral access: step-by-step and troubleshooting - Mazen Abu-Fadel, MD
Intraperitoneal vs Retroperitoneal Hemorrhage [#DaVinciCases Renal 2 - Anatomy Case 2]
Trauma Zones of the Abdomen: Anatomy and What to Do
Benign Septal hematoma. reverse CART.
Iliac Artery Complications Management of Retroperitoneal Bleeds, Perforations, and Acute Occlusions
Retroperitoneal hematoma
26.2 Manual of PCI - Large vessel perforation
28.1 Hypotension - Manual of PCI
22.3 Stent Thrombosis: Manual of PCI
25.3 Manual of PCI - Aortocoronary dissection
Video 16.1: Manual of CTO PCI - Proximal cap ambiguity